Risks associated with Orthodontic treatment

All forms of medical and dental treatment, including orthodontics, have potential risks and limitations. When deciding whether to undertake any form of treatment it is important to carefully weigh up the benefits that treatment will bring against any potential risks. Fortunately in orthodontics most potential risks of treatment are infrequent and when they do occur, they are usually of minor consequence. Nevertheless, all potential risks and limitations should be considered when making a decision to undergo orthodontic treatment. The following information covers most of the risks associated with orthodontic treatment. Any additional or more specific risks which are relevant to you and your treatment will be raised at your consultation.

 

Decalcifications of Teeth (Scarring of the tooth surface)

Decalcification lesions are white, yellow or brown marks that develop on a tooth around the part of the brace (bracket), or aligner attachment, attached to the tooth surface as a result of persistent accumulation of plaque bacteria which is not removed during meticulous cleaning during tooth brushing. If a decalcification lesion progresses it may develop into a cavity. Decalcification lesions are entirely avoidable. If cleaning of your teeth and brace is good and you follow a healthy diet, decalcification lesions will not develop.

 

If teeth and braces are not cleaned adequately, plaque bacteria will accumulate which starts to attack the teeth. Plaque thrives on sugar so a sugary diet will accelerate decalcification. Brush regularly as you are instructed, use a fluoride mouthwash and avoid lots of sweets, chocolates, cakes, biscuits and other sugary foods and drinks to aid prevention of decalcification lesions. Fizzy drinks, including diet drinks should not be consumed when you have braces. Decalcification is often irreversible. Therefore if signs of decalcification are becoming present during orthodontic treatment this is one of the few times we may choose discontinue treatment whether it is finished or not. It is preferable to have teeth which are not straight but are healthy rather than straight teeth that are unhealthy.

alt="enamel demineralisation"

Decalcification and decay due to very poor oral hygiene in the presence of a diet high in sugar

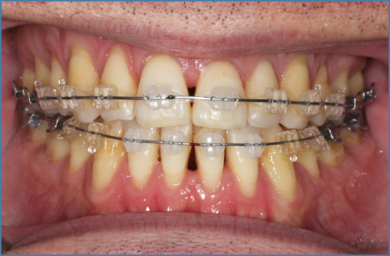
Gum disease

The health of the gums and the underlying bone which supports the teeth can be affected during orthodontic treatment. Adequate cleaning, which is required to maintain gum health, is made more difficult when you have braces or aligners in place. If your tooth brushing and cleaning is not adequate then inflammation or swelling of your gums can develop. When inflamed gums tend to bleed easily and you may notice the occurrence of bleeding during tooth brushing. Such inflammation is entirely preventable and adequate and meticulous cleaning will prevent this from occurring and/or resolve inflammation if it has occurred. Cleaning becomes easier following removal of your braces and usually and swelling/inflammation present of the gums present at the end of treatment will resolve if good oral hygiene is maintained.

alt="gingival inflammation"

Gum disease and swollen inflamed gum tissue due to very poor oral hygiene

Gum recession

In some cases gum recession and bone loss may be experienced with braces. This is worsened if oral hygiene during treatment is not adequate. Therefore, patients with active gum disease will not be offered orthodontic treatment until their gum condition has stabilized. If your gum condition flares up during orthodontic treatment, due to inadequate oral hygiene, your orthodontic treatment may have to be paused or discontinued. Certain people are more predisposed towards development of gum recession that others.

Gum recession may also occur if teeth are moved out of their supporting alveolar bone. This might be the case if teeth are excessively expanded or proclined (tilted forwards) to relieve dental crowding. For this reason thorough diagnosis of your presenting orthodontic problem and careful treatment planning of your orthodontic treatment is of great importance.

Before orthodontic treatment - Moderate crowding and a thin gum tissue biotype

alt="clear ceramic braces gum recession"

Gum recession affecting the lower left lateral incisor during treatment

alt="clear ceramic braces"

Correcting the root position during orthodontic treatment reduces but does not eliminate the recession

After orthodontic treatment, before gingival graft (gum graft)

Dark Triangles

It is common for adults to have experienced some recession or shortening of the gums over the course of their lifetime.  This can result in small dark triangles appearing at gum level at the junction where two teeth meet, particularly if one has teeth which are triangular in shape (broader towards the biting surface of the tooth and narrower towards the gum level of the tooth).  If you have crowded teeth, these dark triangles may not be obviously apparent before orthodontic treatment as the teeth are overlapping however, as teeth become aligned, the dark triangles become apparent.  In some patients with significant pre-existing gum recession some degree of dark triangles may have to be accepted. Often however the extent of these dark triangles can be disguised either by use of inter-proximal reduction (the removal of a small amount of enamel from the broadest part of the tooth) or by post-orthodontic cosmetic dental treatment such as composite bonding (the addition of white filling material to the teeth).

Before orthodontic treatment -Triangular shaped teeth and previous experience of gum recession

Appearance of dark triangles following teeth alignment during treatment

After orthodontic treatment and interproximal reduction to reduce the size of the dark triangles

After cosmetic composite bonding

Root resorption

Almost all types of orthodontic treatment result in some shortening of the roots of the teeth (root resorption). Usually, this shortening is in the region of a millimetre or two so it has no detrimental effect on the longevity of the teeth. Occasionally some patients experience more than the usual shortening. There are some predictors to excessive shortening but sometimes it can happen unexpectedly. Rarely, it may affect the longevity of the teeth. You may have an x-ray taken 6 months into treatment to check the lengths of the roots if we think you are at risk. Root shortening is linked to length of treatment so it is important to complete your treatment in a reasonable and efficient time frame.

alt="dental root resorption"

Rare occurrence of severe root resorption affecting the roots of the upper incisor teeth following a previous course of orthodontic treatment with labial fixed braces

Relapse

Teeth have a tendency to change in their positions throughout our lives. This happens whether we have orthodontic treatment or not. This movement is more obvious during late teens and early twenties as growth of the facial bones slows down. This can lead to changes in the position of the teeth, particularly affecting the lower front teeth. The long-term wear of retainers will reduce the tendency for teeth to move after completion of orthodontic treatment. Fixed retainers may also be recommended in some instances. Failure to wear retainers in the future following your orthodontic treatment will entail accepting a risk that the teeth may move out of their straightened position.

loss of Tooth Vitality

Sometimes a tooth may have been traumatised by a previous accident or a tooth may be decayed and then filled. Occurrence such as these may damage the nerve of the tooth. Orthodontic tooth movement in some cases aggravates this condition and in rare instances may lead to loss of tooth vitality and discolouration of the tooth occurs. Root canal treatment is then needed and other dental treatment to restore the colour of the tooth. Even more rarely, loss of vitality and discolouration of a healthy tooth may occur during treatment or just after the braces are removed.

 

Tooth and Filling Fracture

Some teeth that have previously been restored with either a filling, veneer or crown can be difficult to attach a brace to. Conversely, in some cases brace components stay on too well. This means that when the braces are removed, there is a small chance the filling/veneer/crown may fracture or a weak part of the tooth may fracture. If you have any at risk teeth, this will be highlighted to you before you start treatment. In rare cases, a healthy tooth may fracture and will then need to be repaired. The risk of tooth fracture is higher with ceramic braces (tooth coloured braces) compared to metal braces.

 

Discomfort during treatment

The gums, lips and cheeks may be irritated by the brace but this is usually only for the first week or so following placement of your braces. You will be advised on how to minimize this discomfort. The teeth will also get tender at the start of treatment and after each adjustment visit. This is usually for only a few days and painkillers can be taken if needed using standard over the counter analgesic medications.

 

Loose Braces

Very rarely, a loose or broken brace may be accidentally swallowed or aspirated. You should therefore always contact the orthodontist if you feel something is not feeling right with your brace.

 

Jaw Joints

Occasionally, patients may suffer pain or dysfunction in the jaw joints (temporomandibular joints). This may present as joint pain, ear ache or headaches. There is often a link with stress and jaw joint problems. Some patients are susceptible to jaw joint problems and some are not. These problems may occur with or without orthodontic treatment. Research in this area has shown that the movement of teeth with orthodontic treatment is unrelated to the onset of/cure of jaw joint problems. Just as for painful conditions in other joints, discomfort in the jaw joint can last from several days to weeks or longer. Sometimes the problem can be chronic. If you are experiencing jaw joint problems before starting treatment, you will be advised if it is appropriate to embark on a course of orthodontic treatment.

Further Information on risks of orthodontic treatment