Combination braces

alt="invisible upper lingual brace lower clear ceramic brace"

Combination with upper lingual fixed brace and lower labial clear ceramic fixed brace in place

alt="upper clear aligner lower clear ceramic brace"

Combination with upper removable clear aligner and lower labial clear ceramic fixed brace in place

In some scenarios a combination of different orthodontic brace systems may be used to straighten teeth. Most usually this would take the form of a clear ceramic fixed brace in the lower arch and in the upper arch either an invisible lingual fixed brace or a discreet removable clear aligner may be used.

Combination braces require clinical skill and expertise on the part of the orthodontist to make effective use of. Combination braces are however often helpful in situations where the need for discreet movement of teeth is required but use of upper and lower clear aligners (for example due to severity of clinical problem or patient preference) or upper and lower lingual braces (for example due to comfort and cost) are precluded. Combination braces are an appropriate treatment option in almost all cases.

alt="deep bite"

Before treatment

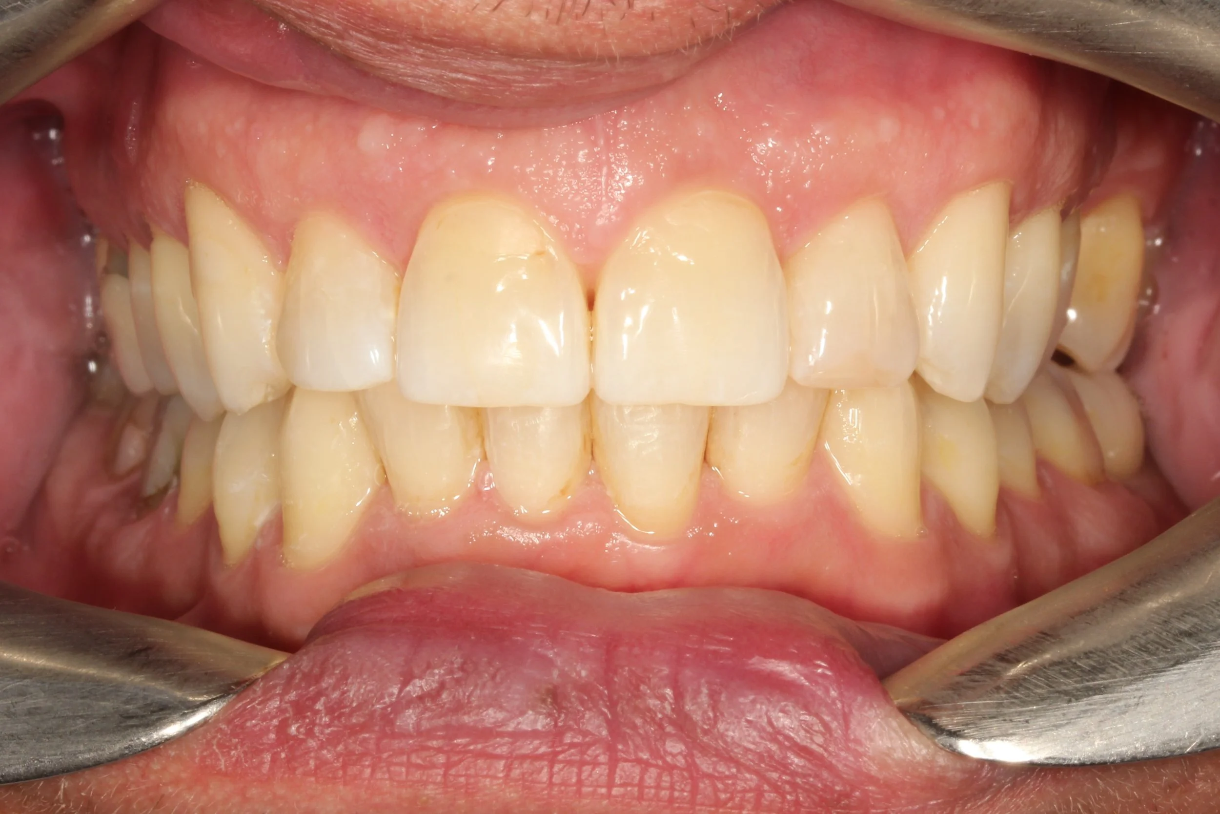
alt="invisible upper lingual brace lower clear ceramic brace"

During treatment with a combination of upper lingual and lower labial clear ceramic braces in place

alt="straight teeth"

After treatment

alt="underbite crossbite"

Before treatment

alt="invisible upper lingual brace lower clear ceramic brace"

During treatment with a combination of upper lingual and lower labial clear ceramic braces in place

alt="straight teeth"

After treatment