Before & after

Severe class III “Underbite”

Treated with upper and lower labial fixed braces & orthognathic surgery

Severe crowding

Treated with upper and lower labial fixed braces and the removal of a tooth in all quadrants

Anterior Open Bite

Treated with upper and lower labial fixed braces and orthodontic miniscrews / TADs

Severe Crossbite & hypodontia (missing teeth)

Treated with upper and lower labial fixed braces and inter-maxillary elastics

Hypodontia (missing teeth)

Treated with upper and lower labial fixed braces and placement of prosthetic replacement teeth

Severe class II “protruding upper teeth”

Two phase treatment with Phase 1: Removable functional brace & Phase 2: Upper and lower labial fixed braces

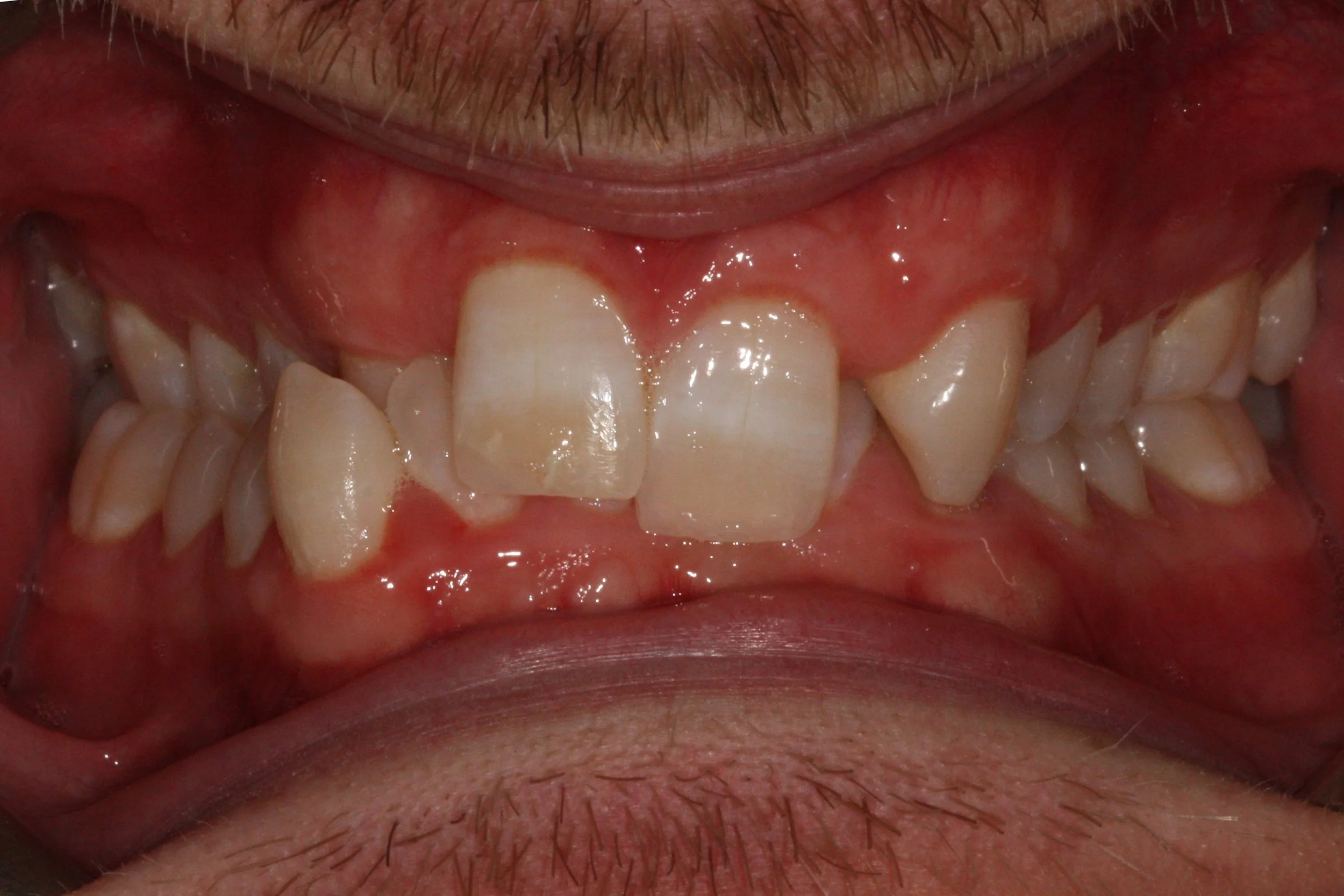
Severe spacing

Treated with upper and lower labial fixed braces

Cleft Lip and Palate (upper right side)

Treated conservatively with use of upper and lower clear aligners (prosthetic bridge present in upper right lateral incisor position)

Class II “protruding upper teeth”

Treated with upper and lower lingual fixed appliances and orthodontic miniscrews / TADs

Class I & mild crowding

Treated with upper and lower clear aligners

Class II “protruding upper teeth”

Treated with upper and lower clear aligners and inter-maxillary elastics

Increased overbite “Deep bite

Treated with upper lingual fixed appliance and lower labial fixed appliance